Root Canal Treatment
Root Canal Treatment - Endodontics
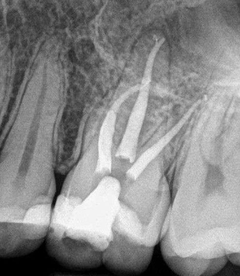
Root canal treatment is the removal of the inflamed or infected nerve of the tooth. This is often required after a tooth has been traumatised by decay, cracks or injury.
Some common signs of an infected tooth include:
- Extreme throbbing
- Excessive sensitivity to temperature
- Toothache
- Swelling of the gum or face
- Pain when chewing food
- Bad taste in the mouth and bad breath
If you have any of these symptoms, please make an appointment with BB Dental so that we may investigate further. Call us on
(07) 4054 1255—we support patients in Earlville, and the entirety of the Cairns region.
Supporting Your Dental Health
Frequently Asked Questions
What is root canal treatment?
Root canal treatment is a dental procedure used to save a tooth with an inflamed or infected pulp. The pulp, located inside the tooth, contains nerves and blood vessels that can become damaged due to deep decay, cracks, trauma or repeated dental work. The procedure involves carefully removing the damaged tissue, cleaning and disinfecting the inner canals and sealing them to prevent further infection. Root canal treatment helps retain the natural tooth, maintaining its function and potentially avoiding the need for extraction.
When might someone need root canal treatment?
Root canal treatment is often required when the pulp inside a tooth becomes infected or inflamed. This may occur due to deep cavities, fractures or injuries that expose the pulp. Symptoms indicating a need for treatment include persistent tooth pain, sensitivity to hot or cold, pain when chewing, swelling of the gums or the presence of a pimple-like bump near the affected tooth. A dentist evaluates these symptoms and performs diagnostic tests to determine if a root canal is necessary.
What happens during a root canal procedure?
During a root canal, the dentist begins by numbing the area to help ensure comfort. An opening is made in the tooth to access the pulp chamber and root canals. The infected or inflamed pulp is removed, and the canals are cleaned and shaped. After disinfection, the canals are filled with a biocompatible material and sealed to help prevent reinfection. In most cases, the procedure is completed over one or more visits, depending on the tooth’s condition and complexity.
What happens after a root canal treatment?
After root canal treatment, the tooth is often restored with a crown or filling to protect it and restore its normal function. The treated tooth may feel sensitive for a few days, which can be manageable with over-the-counter pain relief. Proper oral hygiene, including brushing, flossing and regular dental check-ups, helps maintain the health of the treated tooth. With appropriate care, a tooth that has undergone root canal treatment can continue to function for many years.
How Root Canals Work
Root canal treatment (RCT) is a way of retaining a fully functional tooth that would otherwise be lost. A root canal is performed over several visits, depending on the particular case:
Visit 1: An opening is made at the top of the tooth to access the nerve and eliminate the pain.
Visit 2: The chamber and root canals are cleaned and slightly enlarged, and medication is placed in the canal and sealed for a period of time.
Visit 3: The canals are sealed with a rubbery filling material and the tooth is then restored.
Once a root canal is completed, the tooth may be restored with a bonded filling or crown. A crown encircles the tooth, aiming to protect it from further decay or tooth fracture.
Root canal treatment is now a routine dental treatment, and with good anaesthesia, it is relatively painless. The introduction of rotary files in recent times has improved the process, making it more comfortable than it was years ago.
The cost of RCT depends on the number of canals the tooth has. As with all major treatment plans, an estimate of costs and item numbers will be provided prior to treatment.








